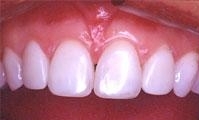
Addition of tooth coloured filling material to the teeth. This is a very conservative way to change the shape of the teeth and improve smile harmony.
Addition of tooth coloured filling material to the teeth. This is a very conservative way to change the shape of the teeth and improve smile harmony.